Recuperar la visión tras una cicatriz corneal

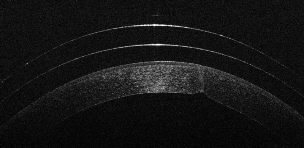
Lentes escleral en cicatriz corneal

Recuperar la visión tras una cicatriz corneal

👁️ Lentes esclerales y cicatrices en la córnea: ¿Se puede volver a ver bien?

Cuando la superficie de nuestro ojo sufre un traumatismo, una infección grave o una cirugía con complicaciones, puede quedar una cicatriz en la córnea (lo que los profesionales llamamos leucoma). Esta marca funciona como un «cristal esmerilado»: la luz no pasa bien y la visión se vuelve borrosa, distorsionada y llena de reflejos.

Si este es tu caso, es posible que te hayan dicho que las gafas no pueden hacer más por ti. Pero hoy quiero darte una excelente noticia gracias a la contactología avanzada.

👓❌ El reto: Cuando la gafa no es suficiente 

Las gafas corrigen la graduación, pero no pueden «alisar» una córnea que tiene una cicatriz o irregularidad. La luz entra de forma caótica en el ojo y por eso, aunque cambies de cristales, sigues sin ver nítido. Aquí es donde entran en juego las lentes esclerales, la solución técnica más avanzada para irregularidades corneales.

👁️ Un Caso real de éxito: Recuperando la visión tras un accidente doméstico gracias a las lentes esclerales 

A veces, un pequeño accidente puede cambiar nuestra forma de ver el mundo de manera permanente. Hoy queremos compartir con vosotros un caso que nos ha emocionado especialmente en el gabinete: la historia de un paciente de 50 años que ha vuelto a ver con nitidez tras décadas de limitaciones.

📉 El reto: Una visión estancada en el 40%

Nuestro paciente presentaba una cicatriz corneal en su ojo derecho, fruto de un accidente doméstico ocurrido hace muchos años. A pesar de haber probado distintas soluciones, la irregularidad de su córnea hacía que, incluso con la mejor graduación en gafas, su agudeza visual fuera solo del 40%.

Esto sucede porque las gafas no pueden compensar las irregularidades de una córnea cicatrizada; la luz se dispersa y la imagen llega distorsionada al cerebro.

🔬 La solución: Contactología avanzada a medida 

Tras un estudio exhaustivo de la superficie de su ojo, optamos por la adaptación de una lente escleral.

¿Por qué escleral? Porque este tipo de lentes no toca la zona dañada de la córnea. En su lugar, se apoya en la parte blanca del ojo (la esclera) y crea una nueva superficie óptica perfecta sobre la cicatriz, bañada constantemente en suero fisiológico.

🚀 Los resultados: Un cambio de vida inmediato 

Lo más gratificante de este caso fue la reacción del paciente en la primera prueba:

  • Visión nítida: Logramos pasar de un 40% a casi el 100% de agudeza visual desde el primer día.

  • Confort total: Al no haber roce con la cicatriz, la comodidad y el porte de la lente fueron excelentes desde el minuto uno.

  • Calidad de vida: Actividades cotidianas que antes eran un reto, ahora son posibles con total seguridad.

🤝 ¿Tienes una cicatriz corneal, ojo seco o queratocono? 

Este caso demuestra que, gracias a la tecnología en lentes de contacto, existen opciones más allá de las gafas convencionales para casos complejos. Si te han dicho que no puedes mejorar tu visión debido a una cicatriz, ojo seco o irregularidad corneal, te invitamos a que nos visites en Óptica Ruiz de Vícar  para una valoración personalizada. Somos expertos en contactología avanzada en Almería.

¡ Pide tu cita para un estudio de lentes esclerales , nunca es tarde para volver a ver el mundo con claridad !